Ишемия головного мозга у взрослых и детей: стадии, симптомы и лечение

© Автор: З. Нелли Владимировна, врач первой квалификационной категории, специально для СосудИнфо.ру (об авторах)

Ишемическая болезнь сердца (ИБС) стала серьезной социальной проблемой, ведь большая часть населения планеты имеет те или иные её проявления. Стремительный ритм жизни мегаполисов, психоэмоциональное напряжение, употребление большого количества жиров с пищей способствуют возникновению болезни и поэтому не удивительно, что жители развитых стран больше подвержены этой проблеме.

ИБС представляет собой заболевание, связанное с изменением стенки артериальных сосудов сердца холестериновыми бляшками, что в итоге приводит к нарушению равновесия между потребностями сердечной мышцы в необходимых для обмена веществах и возможностями их доставки по сердечным артериям. Заболевание может протекать хоть остро, хоть хронически, имеет множество клинических форм, отличающихся симптоматикой и прогнозом.

Несмотря на появление различных современных методов лечения, ИБС по-прежнему занимает лидирующее положение по числу смертей в мире. Зачастую ишемия сердца сочетается с так называемой ишемической болезнью мозга, которая также возникает при атеросклеротическом поражении сосудов, обеспечивающих его кровью. Достаточно часто встречающийся ишемический инсульт, иначе говоря, инфаркт мозга – прямое следствие атеросклероза церебральных сосудов. Таким образом, общие причины этих серьезных заболеваний обусловливают и частую их сочетаемость у одного и того же больного.

Главная причина болезни коронарных сосудов

Для того, чтобы сердце могло своевременно доставлять кровь во все органы и ткани, оно должно иметь здоровый миокард, ведь там происходит множество биохимических превращений, необходимых для выполнения такой важной функции. Миокард снабжен сосудами, называемыми коронарными, по которым ему и доставляются «пища» и дыхание. Различные воздействия, неблагоприятные для коронарных сосудов, способны привести к их несостоятельности, что повлечет за собой нарушение движения крови и питания сердечной мышцы.

Причины ишемической болезни сердца современная медицина изучила достаточно хорошо. С увеличением возраста, под влиянием воздействия внешней среды, образа жизни, особенностей питания, а также при наличии наследственной предрасположенности, происходит поражение коронарных артерий атеросклерозом. Говоря иными словами, на стенках артерий происходит отложение белково-жировых комплексов, со временем превращающихся в атеросклеротическую бляшку, которая и суживает просвет сосуда, нарушая нормальный приток крови к миокарду. Итак, непосредственная причина развития ишемии миокарда – атеросклероз.

Видео: ИБС и атеросклероз

Признаки длительной асфиксии и тяжелой ишемии новорожденных

  • Низкие баллы (0-3) по шкале Апгар после первых 5 минут жизни
  • Кома, отсутствие сухожильных рефлексов и мышечного тонуса
  • Нарушения работы внутренних органов (почки, легкие, печень, сердце)

Степень церебральной ишемии определяет врач после обследования ребенка, эта цифра должна звучать в выписном диагнозе. Начальные данные о состоянии малыша получают сразу после рождения, используя шкалу Апгар:

Признак

0 баллов

1 балл

2 балла

Частота сердцебиенийОтсутствуетЗамедленная (мене 100 ударов в минуту)Более 100 ударов в минуту
Попытки дыханияОтсутствиеСлабый писк, недостаточная вентиляция легкихСильный крик
Мышечный тонусМышцы расслабленыКонечности немного согнутыКонечности хорошо сгибаются, движения активны
Живость рефлексов (на раздражение стопы)ОтсутствуютГримасы на лицеКрик
Цвет кожиСинюшный, бледныйРозовое тело, синюшные конечностиВесь ребенок розовый

Состояние малыша фиксируют через 1 и через 5 минут после рождения. После 1 минуты по количеству баллов определяют необходимость реанимации. Баллы на 5 минуте в некоторой степени отражают гипоксическое повреждение мозга (если оно было).

Когда мы рискуем?

Факторы риска – это такие условия, которые создают угрозу развития заболевания, способствуют его возникновению и прогрессированию. Основными факторами, приводящими к развитию ишемии сердца можно считать следующие:

  • Повышение уровня холестерина (гиперхолистеринемия), а также изменение соотношения различных фракций липопротеидов;
  • Нарушение питания (злоупотребление жирной пищей, избыточное потребление легкоусвояемых углеводов);
  • Гиподинамия, низкая физическая активность, нежелание заниматься спортом;
  • Наличие вредных привычек, таких как курение, алкоголизм;
  • Сопутствующие заболевания, сопровождающиеся нарушением обмена веществ (ожирение, сахарный диабет, снижение функции щитовидной железы);
  • Артериальная гипертензия;
  • Возрастной и половой фактор (известно, что ИБС чаще встречается у пожилых людей, а также у мужчин чаще, чем у женщин);
  • Особенности психоэмоционального состояния (частые стрессы, переутомление, эмоциональное перенапряжение).

Как видно, большинство приведенных факторов достаточно банальны. Каким же образом они влияют на возникновение ишемии миокарда? Гиперхолестеринемия, нарушение питания и обмена веществ представляют собой предпосылки образования атеросклеротических изменений в артериях сердца. У пациентов, имеющих артериальную гипертензию, на фоне колебания давления происходит спазм сосудов, при котором повреждается их внутренняя оболочка, а также развивается гипертрофия (увеличение) левого желудочка сердца. Венечным артериям сложно обеспечить достаточное кровоснабжение увеличенной массы миокарда, особенно, если они сужены накопившимися бляшками.

Известно, что одно только курение способно увеличить риск смерти от сосудистых заболеваний примерно наполовину. Это объясняется развитием у курильщиков артериальной гипертензии, увеличением частоты сердечных сокращений, повышением свертывания крови, а также усилением атеросклероза в стенках сосудов.

К факторам риска относят также психоэмоциональный стресс. Некоторые особенности личности, имеющей постоянное ощущение тревоги или гнева, которые легко могут вызвать агрессию в отношении окружающих, а также частые конфликты, отсутствие взаимопонимания и поддержки в семье, неизбежно приводят к повышенному артериальному давлению, увеличенной частоте сердечных сокращений и, как следствие, возрастающей потребности миокарда в кислороде.

Видео: возникновение и течение ишемии

Всё ли зависит от нас?

Существуют так называемые немодифицируемые факторы риска, то есть те, на которые мы никак повлиять не можем. К ним относят наследственность (наличие различных форм ИБС у отца, матери и других кровных родственников), пожилой возраст и пол. У женщин различные формы ИБС наблюдаются реже и в более позднем возрасте, что объясняют своеобразным действием женских половых гормонов, эстрогенов, препятствующих развитию атеросклероза.

У новорожденных, маленьких детей и подростков практически не наблюдается признаком ишемии миокарда, в особенности, вызванных атеросклерозом. В раннем возрасте ишемические изменения в сердце могут возникнуть в результате спазма коронарных сосудов либо пороков развития. Ишемия у новорожденных и вовсе чаще касается головного мозга и связана она с нарушениями течения беременности или послеродового периода.

Вряд ли каждый из нас может похвастаться отличным здоровьем, постоянным соблюдением режима питания и регулярными занятиями спортом. Большие нагрузки на работе, стрессы, постоянная спешка, невозможность питаться сбалансированно и регулярно – частые спутники нашего ежедневного ритма жизни.

Считается, что жители мегаполисов больше склонны к развитию сердечно-сосудистых заболеваний, в том числе и ИБС, что связано с высоким стрессовым уровнем, постоянным переутомлением и недостатком физической активности. Однако хорошо бы хоть разок в неделю посещать бассейн или спортивный зал, но ведь большинство из нас найдёт массу отговорок этого не делать! У кого-то нет времени, кто-то слишком устал, да и диван с телевизором да тарелочкой домашней вкусной еды в выходной день манит с невероятной силой.

Многие не придают существенного значения образу жизни, поэтому врачам поликлиник необходимо своевременно выявлять факторы риска у пациентов из группы риска, делиться информацией о возможных последствиях переедания, ожирения, малоподвижного образа жизни, курения. Пациент должен ясно представлять исход, к которому может привести игнорирование коронарных сосудов, поэтому как говорится: предупрежден – значит вооружен!

Кардиопатия — сердечная патология у детей

Термин «кардиопатия» произошел от греческих слов kardia — сердце и pathos — болезнь. Выделяют два значения этого понятия: в широком смысле слова оно обозначает любую сердечную патологию, в том числе, неясного генеза.
В узком же его используют, чаще всего, для обозначения нарушений развития миокарда. В связи с этим, диагноз кардиопатия часто выставляют у детей.

Особенно часто встречается у новорожденных (постгипоксическая кардиопатия) и детей 7–12 лет.

Причины этого заболевания многообразны и зависят от вида и формы патологии. Выделяют врожденную и приобретенную кардиопатии. Врожденная развивается в результате тех или иных генетических нарушений, которые фенотипически могут проявляться в виде пороков сердца, дисплазии соединительной ткани, системные васкулиты.

Приобретенная кардиопатия является результатом воздействия неблагоприятных внешних факторов: инфекционные агенты (микроорганизмы, вызывающие миокардиты, эндокардиты и т. д.), гормональная перестройка организма, стресс, чрезмерная физическая нагрузка и т. д.

Термин «кардиопатия» произошел от греческих слов kardia — сердце и pathos — болезнь. Выделяют два значения этого понятия: в широком смысле слова оно обозначает любую сердечную патологию, в том числе, неясного генеза.В узком же его используют, чаще всего, для обозначения нарушений развития миокарда. В связи с этим, диагноз кардиопатия часто выставляют у детей.Особенно часто встречается у новорожденных (постгипоксическая кардиопатия) и детей 7–12 лет.

Прич

ины этого заболевания многообразны и зависят от вида и формы патологии. Выделяют врожденную и приобретенную кардиопатии. Врожденная развивается в результате тех или иных генетических нарушений, которые фенотипически могут проявляться в виде пороков сердца, дисплазии соединительной ткани, системные васкулиты.

Виды и формы ишемической болезни сердца

В настоящее время известно множество видов ишемической болезни сердца. Классификация ИБС, предложенная в 1979 году рабочей группой экспертов ВОЗ, по-прежнему остается актуальной и используется многими врачами. Она основана на выделении самостоятельных форм заболевания, которые имеют своеобразные характерные проявления, определенный прогноз и требуют особого вида лечения. С течением времени и появлением современных способов диагностики, были подробно изучены другие формы ИБС, что нашло свое отражение в других, более новых классификациях.

В настоящее время выделяют следующие клинические формы ИБС, которые представлены:

  1. Внезапной коронарной смертью (первичная остановка сердца);
  2. Стенокардией (здесь выделяют такие ее формы как стенокардия напряжения и спонтанная стенокардия);
  3. Инфарктом миокарда (первичный, повторный, мелкоочаговый, крупноочаговый);
  4. Постинфарктным кардиосклерозом;
  5. Недостаточностью кровообращения;
  6. Нарушением сердечного ритма;
  7. Безболевой ишемией миокарда;
  8. Микроваскулярной (дистальная) ИБС
  9. Новыми ишемическими синдромами («оглушение» миокарда и др.)

Для статистического учета заболеваемости ишемической болезнью сердца используется Международная классификация болезней Х пересмотра, с которой хорошо знаком каждый врач. Кроме того, следует упомянуть, что заболевание может протекать в острой форме, например, инфаркт миокарда, внезапная коронарная смерть. Хроническая ишемическая болезнь сердца представлена такими формами как кардиосклероз, стабильная стенокардия, хроническая сердечная недостаточность.


Различные стадии атеросклеротического поражения при сердечной ишемии

Гипердиагностика и неэффективная терапия ишемической энцефалопатии

Детская неврология – одна из немногих областей отечественной медицины, в которой большинство врачей не следят за новейшими рекомендациями по диагностике и лечению ПЭП. И если новорожденных малышей с поражением мозга в нашей стране выхаживают очень хорошо, то «последствия ПЭП» лечат неправильно и необоснованно.

  • У новорожденных малышей и детей первых 3-6 месяцев жизни есть особенности, которые ошибочно принимают за энцефалопатию. Например, вздрагивания, усиленный мышечный тонус, симптом Грефе – все это норма для малышей до полугода. Большинство педиатров и неврологов, к сожалению, об этом не знают.
  • Осмотр испуганного или сонного малыша – еще одна причина гипердиагностики церебральной ишемии. В таких случаях он может быть излишне возбужден или вял.
  • Следствием избыточной диагностики обычно бывает назначение ненужных медикаментов. Такие препараты не помогают детям с реальными последствиями гипоксии, а уж для здоровых малышей они и вовсе не нужны.

Краткий перечень ненужных медикаментов:

  • Сосудистые препараты (кавинтон, циннаризин и др.) см. препараты для улучшения мозгового кровообращения
  • Актовегин, церебролизин, кортексин
  • Ноотропы: фенибут, пирацетам, пантогам, пикамилон
  • Все гомеопатические препараты (см. эффект плацебо)
  • Растительные средства (пустырник, валерьянка) см. успокоительные средства для детей.

Все вышеуказанные средства не имеют доказанной эффективности и безопасности. В лучшем случае, они не помогут, в худшем – вызовут разнообразные побочные эффекты.

Проявления ишемии миокарда

Симптомы ишемии сердца разнообразны и определяются той клинической формой, которую они сопровождают. Многим известны такие признаки ишемии, как боль в грудной клетке, отдающая в левую руку или плечо, тяжесть или чувство сжатия за грудиной, быстрая утомляемость и появление одышки даже при незначительной физической нагрузке. В случае появления подобных жалоб, а также при наличии факторов риска у человека, его следует детально расспросить об особенностях болевого синдрома, выяснить, что чувствует больной, какие условия смогли спровоцировать приступ. Обычно пациенты хорошо осведомлены о своём заболевании и могут достаточно чётко описать причины, частоту возникновения приступов, интенсивность болевых ощущений, их продолжительность и характер в зависимости от физической нагрузки или приема определенных лекарственных препаратов.

Внезапная коронарная (сердечная) смерть – это смерть больного зачастую в присутствии свидетелей, наступающая внезапно, мгновенно или в течение шести часов с момента возникновения сердечного приступа. Проявляется она потерей сознания, остановкой дыхания и сердечной деятельности, расширением зрачков. Это состояние требует неотложных лечебных мероприятий, и чем раньше они будут оказаны квалифицированными специалистами, тем больше вероятности спасти жизнь больного. Однако, даже при проведении своевременных реанимационных мероприятий, частота летальных исходов при этой форме ИБС достигает 80%. Такая форма ишемии может наблюдаться и у молодых людей, что чаще всего обусловлено внезапным спазмом коронарных артерий.

Ишемия мозга у доношенных и недоношенных детей

Характер повреждения мозга при асфиксии различается у детей, родившихся в срок, и у недоношенных малышей. Чем раньше ребенок появился на свет, тем больше риск возникновения перивентрикулярной лейкомаляции (ПВЛ). Этот термин означает некроз белого вещества мозга, расположенного около специальных полостей (желудочков). На месте отмерших клеток формируются кисты. Именно ПВЛ повинна в большинстве случаев ДЦП и слабоумия у детей, родившихся раньше 31 недели беременности.

У доношенных младенцев чаще повреждается кора головного мозга – серое вещество. Последствия для здоровья будут зависеть от объема и расположения поврежденных нейронов. Если асфиксия была тяжелой и острой, то может повреждаться ствол головного мозга, отвечающий за дыхание и сердцебиение. Это представляет прямую угрозу жизни малыша.

Стенокардия и её виды

Стенокардия – это, пожалуй, одно из самых распространенных проявлений ишемии миокарда. Возникает, как правило, на фоне атеросклеротического поражения сердечных сосудов, однако в генезе её немаловажную роль играет склонность сосудов к спазму и повышение агрегационных свойств тромбоцитов, что влечёт за собой образование тромбов и закупорку ими просвета артерии. Даже при незначительных физических нагрузках пораженные сосуды не в состоянии обеспечить нормальный приток крови к миокарду, в результате нарушается его метаболизм, а это и проявляется характерными болевыми ощущениями. Симптомы ишемической болезни сердца при этом будут таковыми:

  • Приступообразная интенсивная боль за грудиной, отдающая в левую руку и левое плечо, а иногда – в спину, лопатку или даже в область живота;
  • Нарушение ритма сердца (учащение или, наоборот, урежение частоты сердечных сокращений, появление экстрасистол);
  • Изменение показателей артериального давления (чаще его повышение);
  • Появление одышки, беспокойства, бледности кожных покровов.

В зависимости от причин возникновения, выделяют различные варианты течения стенокардии. Это может быть стенокардия напряжения, возникающая на фоне физической или эмоциональной нагрузки. Как правило, при приеме нитроглицерина или в покое боль уходит.

Спонтанная стенокардия – такая форма ишемии сердца, которая сопровождается появлением болевых ощущений без видимых на то причин, при отсутствии физического или эмоционального напряжения.

Нестабильная стенокардия – это форма прогрессирования ишемической болезни сердца, когда происходит усиление интенсивности болевых приступов, их частоты, при этом значительно возрастает риск развития острого инфаркта миокарда и смерти. Больной при этом начинает потреблять большее количество таблеток нитроглицерина, что свидетельствует об ухудшении его состояния и утяжелении течения болезни. Такая форма требует особого внимания и неотложного лечения.

Подробнее о всех видах стенокардии и её лечении читайте по ссылке.

Дилатационная кардиомиопатия

https://www.youtube.com/watch?v=xfzJVZU0X1Q

Может быть врожденной и приобретенной.В результате структурной патологии миокарда снижается его сократительная способность и происходит расширение (лат.: dilatatio) полостей сердца.Развивается застойная сердечная недостаточность.

Может быть врожденной и приобретенной.

В результате структурной патологии миокарда снижается его сократительная способность и происходит расширение (лат.: dilatatio) полостей сердца.

Развивается застойная сердечная недостаточность.

Инфаркт миокарда, что значит это понятие?

Инфаркт миокарда (ИМ) – одна из наиболее опасных форм ИБС, при которой происходит некроз (омертвение) сердечной мышцы в результате внезапного прекращения снабжения сердца кровью. Инфаркт чаще встречается у мужчин, нежели у женщин, и эта разница больше выражена в молодом и зрелом возрасте. Такое различие может быть объяснено следующими причинами:

  1. Более позднее развитие атеросклероза у женщин, которое связано с гормональным статусом (после наступления менопаузы эта разница начинает постепенно уменьшаться и к 70 годам окончательно исчезает);
  2. Бóльшая распространенность вредных привычек среди мужского населения (курение, алкоголизм).
  3. Факторы риска инфаркта миокарда те же, что и описанные выше для всех форм ИБС, однако в данном случае, помимо сужения просвета сосудов, иногда на значительном протяжении, как правило, происходит еще и тромбоз.

В различных источниках при развитии инфаркта миокарда выделяют так называемую патоморфологическую триаду, которая выглядит следующим образом:

Наличие атеросклеротической бляшки и увеличение ее размеров с течением времени могут привести к ее разрыву и выходу содержимого на поверхность сосудистой стенки. Повреждению бляшки могут способствовать курение, увеличение артериального давления, интенсивные физические упражнения.

Повреждение эндотелия (внутреннего слоя артерии) при разрыве бляшки вызывает усиление свертывания крови, «прилипание» тромбоцитов к месту повреждения, что неизбежно ведет к тромбозу. По данным разных авторов, встречаемость тромбоза при инфаркте миокарда достигает 90%. Вначале тромб заполняет бляшку, а затем и весь просвет сосуда, при этом полностью нарушается движение крови в месте тромбообразования.

Спазм коронарных артерий происходит в момент и в месте формирования тромба. Он может происходить и на всем протяжении венечной артерии. Коронароспазм ведет к полному сужению просвета сосуда и окончательной остановке движения крови по нему, что и вызывает развитие некроза в сердечной мышце.

Кроме описанных причин, в патогенезе инфаркта миокарда важную роль играют и другие, которые связаны:

  • С нарушением со стороны свертывающей и противосвертывающей систем;
  • С недостаточным развитием «обходных» путей кровообращения (коллатеральных сосудов),
  • С иммунологическими и метаболическими нарушениями в месте повреждения сердечной мышцы.

Как распознать инфаркт?

Какие же симптомы и проявления имеет инфаркт миокарда? Как не пропустить эту грозную форму ИБС, столь часто приводящую к смерти людей?

Зачастую, ИМ застает больных в самых разных местах – дома, на работе, в общественном транспорте. Важно вовремя выявить эту форму ИБС, чтобы тут же начать лечение.

Клиника инфаркта хорошо известна и описана. Как правило, больные жалуются на острую, «кинжальную», загрудинную боль, которая не прекращается при приеме нитроглицерина, перемене положения тела или задержке дыхания. Болевой приступ может продолжаться до нескольких часов, при этом появляется беспокойство, чувство страха смерти, потливость, синюшность кожных покровов.

При самом простом обследовании быстро выявляются нарушения в ритме сердца, изменения артериального давления (снижение вследствие нарушения насосной функции сердца). Встречаются случаи, когда некроз сердечной мышцы сопровождается изменениями со стороны желудочно-кишечного тракта (тошнота, рвота, метеоризм), а также так называемая «безболевая» ишемия миокарда. В этих случаях диагностика может быть затруднена и требует применения дополнительных методов обследования.

Однако при своевременно начатом лечении становится возможным спасти жизнь пациенту. В этом случае на месте очага некроза сердечной мышцы появится очаг плотной соединительной ткани – рубец (очаг постинфарктного кардиосклероза).

Видео: как работает сердце, инфаркт миокарда

Классификация

По течению патологии:

  • Функциональная — возникает при систематических физических перегрузках. Во время тренировок, к работе сердца предъявляются особенно большие запросы и чтобы отвечать на них, организм вынужден перестраиваться. В результате изменяется метаболизм миокарда, а со временем и его структура;
  • Вторичная — появляется на фоне другой патологии. Часто кардиопатия развивается на фоне легочной патологии (пневмония, бронхиальная астма);
  • Диспластическая кардиопатия — развивается у детей в результате изменений, возникающих при дисплазии соединительной ткани. Часто морфологически проявляется пролапсом митрального клапана, дополнительными хордами, изменением формы и положения сердца (каплевидное, ось сердца вертикальная). В результате изменения структуры эластической ткани сердца избыточно растягивается в диастолу, а также неполноценно сокращается в систолу, возникает сердечная недостаточность;
  • Кардиомиопатия — врожденная генетически обусловленная патология миокарда. Выделяют 3 вида кардиомиопатии у детей: дилатационная, гипертрофическая и рестриктивная.
  • функциональные кардиопатии затрудняют течение ранней и удлиняют период поздней послеродовой адаптации системы кровообращения и в целом организма новорожденного ребенка;
  • ограничивают объемы и скорость внутривенно вводимой жидкости при проведении интенсивной инфузионной терапии;
  • требуют дифференциальной диагностики с такими врожденными заболеваниями сердца, как врожденные пороки, кардиомиопатии, кардиты;
  • функциональные кардиопатии у части детей заканчиваются формированием некоторых малых аномалий развития сердца (недостаточность трикуспидального и митрального клапана, функционирующее открытое овальное отверстие);
  • появлением ранних последствий (нарушение процессов метаболизма миокарда и сниженная систолическая функция ЛЖ в течение первых 3-6 месяцев жизни, различные нарушения ритма сердца);
  • формированием отдаленных последствий в течение последующих лет жизни (неполная блокада правой ножки пучка Гиса, внутрижелудочковые блокады на уровне волокон Пуркинье).
  • Истинная частота функциональных кардиопатий неизвестна. В настоящее время накоплен достаточно большой научный материал по этой проблеме, который требует определенной систематизации. В связи с этим, нами предлагается рабочий проект классификации функциональных кардиопатий периода новорожденности, в которой все нарушения функционального состояния сердца разделены на 5 классов.

    ^ Рабочий проект классификации функциональных кардиопатий периода новорожденности (А.В.Прахов, 2007).I. Постгипоксическая кардиопатия.II. Токсико-метаболические кардиопатии:1.Функциональная кардиопатия при непрямой гипербилирубинемии (билирубиновая кардиопатия);2. Кокаиновая кардиопатия.III. Цереброкардиальный синдром;^ IV.

    Функциональные кардиопатии, обусловленные эндокринной патологией:1.Диабетическая кардиомиопатия новорожденных детей;2.Кардиопатии при врожденном гипотиреозе;3.Кардиопатии при врожденном гипертиреоидизме;^ V. Кардиопатия при синдроме дыхательных расстройств.Постгипоксическая кардиопатия возникает у новорожденных детей, перенесших перинатальную гипоксию и характеризуется со стороны сердца полиморфизмом клинических проявлений, последствия которой у части детей могут сохраняться в течение последующих нескольких лет жизни.

    В основе поражения сердца лежит транзиторная постгипоксическая ишемия миокарда, которая возникает в интранатальном периоде и в первые дни раннего неонатального периода. Она обусловлена постгипоксическими нарушениями микроциркуляции в сердечной мышце с последующей ее ишемией, а также гипоксемией, изменением реологических свойств крови, гемодинамическими перегрузками правого или левого сердца, транзиторной легочной сосудистой гипертензией и гипогликемией.

    У ребенка с постгипоксической кардиопатией клинически диагностируются ранние стадии сердечной недостаточности с снижением систолической функции ЛЖ, очаговыми изменениями комплекса ST-T на ЭКГ, у части детей удлинением А-В проводимости, гемодинамической перегрузкой правого сердца, трикуспидальной, реже митральной недостаточностью, а также различными нарушениями ритма сердца.

    Ранние последствия включают сниженные показатели систолической функции ЛЖ в течение 3-6 месяцев после рождения, неполную блокаду правой ножки пучка Гиса, внутрижелудочковые блокады на уровне волокон Пуркиье, умеренную легочную сосудистую гипертензию, недостаточность трикуспидального клапана.Отдаленные последствия встречаются в виде неполной блокады правой ножки пучка Гиса, внутрижелудочковых блокад на уровне волокон Пуркинье, недостаточности трикуспидального клапана.

    Среди токсико-метаболических кардиопатий различают функциональные кардиопатии при непрямой гипербилирубинемии и кардиопатии при длительном употреблении наркотических веществ женщиной в течение беременности.^ Функциональная кардиопатия при непрямой гипербилирубинемии (билирубиновая кардиопатия). Возникает в первые 2-6 дней после рождения при уровне непрямого билирубина более 300 мкмоль/л.

    В основе лежат механизмы токсического воздействия высоких концентраций непрямого билирубина на миокард с блокированием внутриклеточных ферментных систем миокардиальных клеток (НАД-зависимых дегидрогеназ, алкогольдегидрогеназы, глютаматдегидрогеназы, глицераль-3-фосфатдегидрогеназы) с последующим образованием дефицита энергоемких фосфатов.

    Клинически могут определяться начальные стадии острой сердечной недостаточности с снижением систолической функции ЛЖ, нарушением фазы реполяризации желудочков во всех прекордиальных отведениях на ЭКГ.В течение первых двух недель жизни у большинства детей происходит восстановление систолической функции ЛЖ, затем к концу периода новорожденности нормализуются показатели конечной части желудочкового комплекса ST-T на ЭКГ.

    Ранние и отдаленные последствия билирубиновой кардиопатии не изучены.^ Кокаиновая кардиопатия формируется внутриутробно. В основе кардиопатии лежит регулярный прием женщиной во время беременности наркотических препаратов.После рождения ребенка кокаиновая кардиопатия проявляется высокой частотой врожденных малых аномалий структур сердца.

    Клинически определяются эпизоды остановки дыхания и сердечной деятельности. В первые сутки жизни у ребенка обнаруживается функциональная кардиопатия со снижением сократительной и насосной функции ЛЖ.Ранние и отдаленные последствия не известны.^ Цереброкардиальный синдром (при гипоксически-ишемическом поражении ЦНС).

    Диагностируется с первых дней жизни новорожденного ребенка. В основе его лежит нарушение центральной вегетативной регуляции сердечной деятельности при перинатальном гипоксически-ишемическом поражении ЦНС. Клинически существенно преобладает поражение ЦНС над гипоксическим поражением сердца. Чаще всего клинически проявляется аритмическим вариантом в виде различных нарушений ритма сердца — синусовая тахикардия, синусовая брадикардия, синусовая аритмия, различные экстрасистолии.

    В течение первых месяцев жизни ребенка диагностируются различные аритмии. Отдаленные последствия не изучены.В настоящее время наиболее изученными функциональными кардиопатиями, связанными с эндокринной патологией, являются диабетическая кардиомиопатия, кардиопатия при врожденном гипотиреозе и кардиопатия при врожденном гипертиреоидизме.

    ^ Диабетическая кардиомиопатия новорожденных детей в озникает внутриутробно и клинически проявляется сразу после рождения ребенка, если мать продолжительное время лечилась инсулином. В основе ее лежат материнская гипергликемия, возникающая в результате течения диабета, гиперинсулинизм плода, гормональная плацентарная дисфункция, нарушения гормональной регуляции взаимодействия на уровне клеточных мембран, что в конечном итоге приводит к поражению сердца в виде отложения гликогена в миокарде и его последующей гипертрофии.

    Характеризуется асимметричным утолщением перегородок сердца, особенно межжелудочковой перегородки и стенки левого желудочка, динамическим субаортальным стенозом, уменьшением диастолического наполнения ЛЖ, следствием чего является диастолическая дисфункция ЛЖ и увеличение размеров камер сердца.Клинические проявления диабетической кардиомиопатии как правило исчезают к концу первого месяца жизни, а патологические изменения в сердце регрессируют в течение 6-12 месяцев после рождения ребенка.

    Отдаленные последствия не изучены.^ Кардиопатия при врожденном гипотиреозе возникает внутриутробно. В основе ее лежит дефицит тиреоидного гормона в организме внутриутробного плода.Клинически проявляется синусовой брадикардией, ранними стадиями сердечной недостаточности. Для ЭКГ характерны низкоамплитудные желудочковые комплексы в левых грудных отведениях и увеличение продолжительности желудочкового комплекса QRS в отведении V3R-V2R-V1.

    По данным ультразвукового исследования сердца может определяется умеренный перикардиальный выпот.Терапия тироксином приводит к улучшению функции сердца и показателей электро — и эхокардиографии в течение первых месяцев жизни. Отдаленные последствия не изучены.^ Кардиопатия при врожденном гипертиреоидизме возникает внутриутробно.

    В ее основе лежит трансплацентарная трансфузия тиреоид-стимулирующего иммуноглобулина от матери к плоду.В периоде новорожденности клинически проявляется синусовой или суправентрикулярной тахикардией, с последующим снижением систолической функции левого желудочка и присоединением острой сердечной недостаточности, а также транзиторной легочной сосудистой гипертензией.

    Нормализация тиреоидной функции в первые месяцы жизни ребенка приводит к регрессу кардиальной патологии. Отдаленные последствия не изучены.^ Кардиопатия при синдроме дыхательных расстройств в озникает преимущественно у недоношенных детей после рождения, вследствие систолической перегрузки правых отделов сердца из-за высокой транзиторной легочной сосудистой гипертензии, которая является результатом рассеянных ателектазов легких, болезни гиалиновых мембран или отечно-геморрагического синдрома, а также сопутствующей гипоксемии и гипоксии, обусловленной острой дыхательной недостаточностью.

    Клинически проявляется различными стадиями острой сердечной недостаточности, преимущественно по правожелудочковому типу. На ЭКГ диагностируется систолическая перегрузка правого желудочка, различные нарушения ритма и проводимости. По данным УЗИ сердца выявляется увеличение диаметра ПЖ, увеличение правого предсердия, может возникать относительная недостаточность трикуспидального клапана.

    С уменьшением легочной сосудистой гипертензии и дыхательной недостаточности исчезают и проявления кардиопатии. Ближайшие и отдаленные последствия не изучены.Таким образом, предлагаемый рабочий проект классификации неонатальных функциональных кардиопатий отражает основные изученные на сегодняшний день нарушения функционального состояния сердца у новорожденных детей и может служить практическим врачам в качестве основы для постановки диагноза и проведения дифференциальной диагностики с другой врожденной кардиальной патологией.

Последствия и осложнения ИБС

Постинфарктный кардиосклероз

Постинфарктный кардиосклероз – одна из форм ишемической болезни сердца. Рубец в сердце позволяет прожить больному еще не один год после перенесенного инфаркта. Однако с течением времени, в результате нарушения сократительной функции, связанной с наличием рубца, так или иначе начинают появляться признаки сердечной недостаточности – еще одной формы ИБС.

Хроническая недостаточность сердца

Хроническая недостаточность сердца сопровождается возникновением отеков, одышки, снижением толерантности к физическим нагрузкам, а также появлением необратимых изменений во внутренних органах, что может стать причиной смерти больного.

Острая сердечная недостаточность

Острая сердечная недостаточность может развиться при любых вариантах ИБС, однако, наиболее часто она встречается при остром инфаркте миокарда. Так, она может проявляться нарушением работы левого желудочка сердца, тогда у больного будут признаки отека легких – одышка, цианоз, появление пенистой розовой мокроты при кашле.

Кардиогенный шок

Другое проявление острой недостаточности кровообращения – кардиогенный шок. Он сопровождается падением артериального давления и выраженным нарушением кровоснабжения различных органов. Состояние больных при этом тяжелое, сознание может отсутствовать, пульс нитевидный или совсем не определяется, дыхание становится поверхностным. Во внутренних органах в результате недостатка кровотока развиваются дистрофические изменения, появляются очаги некроза, что приводит к острой почечной, печеночной недостаточности, отеку легких, нарушению функции центральной нервной системы. Эти состояния требуют принятия незамедлительных мер, потому что непосредственно представляют собой смертельную опасность.

Аритмия

Нарушения ритма сердца достаточно распространены среди больных с сердечной патологией, часто они сопровождают и выше перечисленные формы ИБС. Аритмии могут, как существенно не влиять на течение и прогноз заболевания, так и значительно ухудшать состояние больного и даже представлять угрозу для жизни. Среди аритмий наиболее часто встречаются синусовая тахикардия и брадикардия (учащение и урежение частоты сокращений сердца), экстрасистолии (появление внеочередных сокращений), нарушения проводимости импульсов по миокарду – так называемые блокады.

Основные причины ишемии мозга у новорожденных

Внутриутробная гипоксия или асфиксия в родах (полная остановка поступления кислорода)

  • острая плацентарная недостаточность (см. гипоксия плода), отслойка плаценты
  • длительные роды
  • пережатие пуповины при схватках и потугах

Дыхательная недостаточность после рождения

  • врожденные пороки сердца
  • нарушение кровоснабжения сердца
  • открытый артериальный проток
  • дыхательная недостаточность у недоношенных детей

Снижение артериального давления после рождения

  • сепсис
  • обильные кровотечения (нарушение свертываемости крови, травмы печени и другие причины)

Способы диагностики ишемической болезни сердца

В настоящее время существует множество современных и разнообразных способов обнаружения нарушений коронарного кровотока и ишемии сердца. Однако не следует пренебрегать и самыми простыми и доступными, такими как:

  1. Тщательный и детальный расспрос больного, сбор и анализ предъявляемых жалоб, их систематизация, выяснение семейного анамнеза;
  2. Осмотр (выявление наличия отеков, изменения цвета кожных покровов);
  3. Аускультация (выслушивание сердца с помощью стетоскопа);
  4. Проведение различных проб с физической нагрузкой, при которых происходит постоянный контроль деятельности сердца (велоэргометрия).

Эти простые методы в большинстве случаев позволяют достаточно точно определить характер заболевания и определить дальнейший план обследования и лечения пациента.

Инструментальные методы исследования, помогают более точно определить форму ИБС, тяжесть течения и прогноз. Наиболее часто используют:

  • электрокардиографию – весьма информативный способ диагностики различных вариантов ишемии миокарда, так как изменения ЭКГ при различных состояниях изучены и описаны достаточно хорошо. ЭКГ можно также сочетать с дозированной физической нагрузкой.
  • биохимический анализ крови (выявление нарушений липидного обмена, появление признаков воспаления, а также специфических ферментов, характеризующих наличие некротического процесса в миокарде).
  • коронарографию, которая позволяет путем введения контрастного вещества определить локализацию и распространенность поражения коронарных артерий, степень их сужения холестериновой бляшкой. Этот способ также позволяет отличить ИБС от других заболеваний, когда диагностика с помощью других методов затруднена или невозможна;
  • эхокардиографию (выявление нарушения движения отдельных участков миокарда);
  • радиоизотопные методы диагностики.

На сегодняшний день электрокардиография представляется достаточно доступным, быстрым и, вместе с тем, весьма информативным методом исследования. Так, достаточно достоверно с помощью ЭКГ можно выявить крупноочаговый инфаркт миокарда (снижение зубца R, появление и углубление зубца Q, подъем сегмента ST, принимающего характерную форму дуги). Депрессией сегмента ST, появлением отрицательного зубца Т или отсутствием каких-либо изменений на кардиограмме будет проявляться субэндокардиальная ишемия при стенокардии. Следует заметить, что сейчас даже линейные бригады скорой помощи укомплектованы аппаратами ЭКГ, не говоря уже о специализированных.

Диагностика

Обычно церебральная ишемия проявляет себя в первые сутки после рождения. Легкая энцефалопатия проходит довольно быстро, а при тяжелой степени может быть ложный «светлый промежуток», несколько часов или дней улучшения, за которым следует резкое ухудшение. Поэтому для постановки диагноза используют необходимо полное обследование.

Осмотр малыша

В осмотр входит оценка по шкале Апгар, проверка всех важных рефлексов (сосательный, глотательный, хватательный), измерение массы и роста тела.

Анализы

  • общий анализ крови
  • уровень электролитов крови
  • оценка свертываемости крови
  • количество газов крови (кислород, углекислый газ)

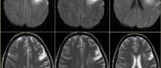
МРТ головного мозга

При умеренной и тяжелой ишемии мозга часто применяют магнитно-резонансное исследование его структур. При легкой ишемии, проходящей в течении суток, редко возникает необходимость в МРТ.

УЗИ мозга

Несмотря на распространенное мнение, УЗИ не является точным способом определения гипоксической энцефалопатии. С его помощью иногда можно заметить признаки отека мозга и кровоизлияния. Но чаще этот метод исследования дает ложноположительный результат. Поэтому ультразвук применяют для первичного диагноза, с необходимостью в дополнительном обследовании.

ЭЭГ (электроэнцефалография)

Данное исследование незаменимо у малышей с тяжелой ишемией мозга. С его помощью можно выявить скрытые судороги, оценить степень повреждения мозга и сохранность его активности, подобрать правильную противосудорожную терапию.

Методы лечения различных форм ишемии миокарда

В настоящее время существует много различных способов лечения ишемической болезни сердца, которые позволяют не только продлить жизнь больного, но и значительно улучшить ее качество. Это могут быть консервативные (применение лекарственных препаратов, лечебная физкультура) и хирургические методы (операции, восстанавливающие проходимость коронарных сосудов).

Правильно питание

Немаловажную роль в лечении ИБС и реабилитации больного играет нормализация режима, устранение имеющихся факторов риска. В обязательном порядке следует объяснить пациенту, что, например, курение способно свести к минимуму все усилия врачей. Так, важно нормализовать питание: исключить алкоголь, жареные и жирные блюда, продукты, богатые углеводами, кроме того при наличии ожирения необходимо сбалансировать количество и калорийность потребляемой пищи.

Диета при ишемической болезни должна быть направлена на уменьшение потребления животных жиров, увеличение доли клетчатки, растительных масел в пище (овощи, фрукты, рыба, морепродукты). Несмотря на то, что таким больным противопоказаны значительные физические нагрузки, правильная и умеренная лечебная физкультура помогают адаптировать пораженный миокард к функциональным возможностям сосудов, его кровоснабжающих. Очень полезны пешие прогулки, дозированные физические упражнения под контролем специалиста.

Медикаментозная терапия

Лекарственная терапия различных форм ИБС сводится к назначению так называемых антиангинальных препаратов, способных устранять или предупреждать приступы стенокардии. К таким препаратам относятся:

  • Нитраты (например, нитроглицерин) – он обладает свойством расширять коронарные артерии и быстро улучшать доставку крови к миокарду. Применяется при приступе стенокардии, острой боли при инфаркте миокарда, развитии отека легких;
  • Препараты из группы бета-адреноблокаторов (метопролол, атенолол) – урежают частоту сердечных сокращений при тахикардии, уменьшают потребность сердечной мышцы в кислороде, проявляют антиагрегантное действие. Применяются при стенокардии, хронической сердечной недостаточности;
  • Препараты из группы антагонистов кальция (верапамил, нифедипин) – кроме антиангинального, обладают гипотензивным действием, улучшают переносимость физических нагрузок;
  • Тромболитическая и антиагрегантная терапия – особенно важна при инфаркте миокарда для быстрейшего растворения тромба и восстановления проходимости пораженного сосуда, а также для профилактики тромбозов при хронических формах ИБС. Применяются гепарин, стрептокиназа, препараты ацетилсалициловой кислоты (аспирин кардио, кардиомагнил).

При всех острых формах ИБС необходима быстрая и квалифицированная помощь с применением эффективных обезболивающих препаратов, тромболитиков, возможно, потребуется введение плазмозамещающих препаратов (при развитии кардиогенного шока) или проведение дефибрилляции.

Операция

Хирургическое лечение ишемии сердца сводится к:

  1. восстановлению проходимости коронарных артерий (стентирование, когда в месте поражения сосуда атеросклерозом вводится трубочка, препятствующая дальнейшему сужению его просвета);
  2. либо к созданию обходного пути кровоснабжения (аорто-коронарное шунтирование, маммарно-коронарное шунтирование).

При наступлении клинической смерти очень важно вовремя начать реанимационные мероприятия. При ухудшении состояния больного, появлении выраженной одышки, нарушениях ритма сердца уже поздно бежать в поликлинику! Подобные случаи требуют вызова «скорой», поскольку может потребоваться быстрейшая госпитализация больного.

Видео: лекция специалиста о лечении ишемии

Гипертрофическая кардиомиопатия

Это исключительно врожденная кардиомиопатия. Из-за мутации генов происходит морфологическая перестройка левых отделов сердца, особенно левого желудочка. Происходит его гипертрофия, что повышает потребность сердца в кислороде.Даже при нормальной проходимости коронарных артерий сердце страдает от ишемии. В итоге происходит декомпенсация возможностей организма, в результате — недостаточность кровообращения.

Это исключительно врожденная кардиомиопатия. Из-за мутации генов происходит морфологическая перестройка левых отделов сердца, особенно левого желудочка. Происходит его гипертрофия, что повышает потребность сердца в кислороде.

Даже при нормальной проходимости коронарных артерий сердце страдает от ишемии. В итоге происходит декомпенсация возможностей организма, в результате — недостаточность кровообращения.

После выписки из стационара

Лечение народными средствами может быть эффективно только в сочетании с традиционными методами. Наиболее распространено применение различных трав и сборов, таких как цветки ромашки, трава пустырника, настойка из листьев березы и др. Такие настои и фиточаи способны оказывать мочегонное, успокаивающее действие, улучшать кровообращение в различных органах. Учитывая тяжесть проявлений, высокий риск смертельного исхода недопустимо применение сугубо нетрадиционных средств воздействия, поэтому искать любые средства, которые могут быть порекомендованы людьми невежественными, крайне нежелательно. Любое применение нового лекарства или народного средства должно быть оговорено с лечащим врачом.

Кроме того, когда самое страшное уже позади, чтобы не допустить повторения, больному следует принять как должное назначение препаратов для коррекции липидного состава плазмы крови. Замечательно будет разбавить медикаментозное лечение физиотерапевтическими процедурами, посещением психотерапевта и получением санаторно-курортное лечения.

Признаки ишемии головного мозга на третьей стадии

Со временем болезнь превращает человека в инвалида:

  • Нарушаются интеллектуальные функции: абстрактное мышление, чтение, счет, запоминание и воспроизведение информации и др.
  • Мимика становится вялой.
  • Замедляется ходьба.
  • Походка становится неуверенной, существенно нарушается координация движений.
  • Отмечаются падения, обмороки.

Многие пациенты, страдающие ишемией головного мозга на третьей стадии, уже успевают перенести инсульт или приступ транзиторной ишемической атаки (иногда не один раз).

Особенности кардиопатии

У грудничков кардиопатия наблюдается после внутриутробной или перинатальной гипоксии и носит название постгипоксическая кардиопатия. При ней нарушается метаболизм сердца и его вегетативная регуляция, что нарушает его функцию.В диагноз и в медицинскую статистику такое состояние не выносится, однако встречается оно более чем у 50% новорожденных. Стоит сказать, что последствия внутриутробной гипоксии чаще всего проходят в течение 3 лет.

Новорожденные также могут страдать кардиопатиями. Заболевание часто развивается на фоне перенесенного недостатка кислорода. Притом не важно, когда возникла гипоксия, во время родов или еще во время беременности. Из-за дефицита кислорода нарушается регуляция работы сердца с изменением вегетативной нервной системы.

Дисфункция миокарда возникает из-за нарушения процессов энергетического обмена.В среднем, 50-70 % перенесших гипоксию новорожденных страдают кардиопатиями. Тяжесть патологии во многом зависит от продолжительности перенесенной гипоксии. Если нехватка кислорода наблюдалась и после рождения, то с большей долей вероятности развивается патология сердца, которую нужно потом специфически лечить. Обычно подобные кардиопатии сохраняются от месяца и до трехлетнего возраста примерно у трети заболевших детей.

С греческого языка слово «кардиопатия» звучит как «нарушение сердца». Код МКБ (международной классификации болезней) 10 пересмотра у патологии I42. В данном нормативном документе она прописана как «кардиомиопатия». По сути, разницы между этими двумя понятиями (кардиопатией и кардимиопатией) нет, поэтому оба варианта используются при описании структурных изменений миокарда у ребенка.

Зачастую выявляют их при ультразвуковом исследовании (УЗИ) сердца.Видов кардиопатии достаточно много, каждый из них спровоцирован определенными факторами. Менее опасной и наиболее распространенной формой болезни считается функциональная. Она развивается зачастую у детей школьного возраста из-за стрессов и перегрузок и фактически не проявляется.

Другие виды патологии имеют более весомые причины возникновения и часто оставляют необратимые последствия.У грудного ребенка выявить проблему можно, ориентируясь на симптоматику, или при помощи инструментальных методов исследования. У детей более старшего возраста кардиопатию часто обнаруживают по их поведению во время физически активных игр.

  • аномалии коронарных сосудов;
  • разрастание перегородки между желудочками;
  • сбои в сердцебиении;
  • нарушения в системе проводимости сигнала;
  • пороки развития желудочков;
  • пролапс (неполное закрытие) клапанов.

Это характерные кардиопатии изменения структуры и работы сердца.Большая часть факторов свидетельствует о наличии пороков сердца. В остальных случаях болезнь проявляется на фоне развития прочих заболеваний и сбоев в обмене веществ. Для точной постановки диагноза придется пройти полное инструментальное обследование.

Многим родителям пришлось на своем опыте узнать, что такое кардиопатия у детей, из-за ее распространенности. У грудничка болезнь имеет врожденную форму, а у более зрелого ребенка чаще выявляют приобретенную. В основе патологического процесса лежат метаболические сбои. Из-за них развивается дистрофия мышечных тканей.

Постепенно они заменяются соединительными, которые не проводят электрические импульсы. У ребенка возникают различные аритмии, проявляется сердечная недостаточность и разрастается (гипертрофируется) миокард.Наиболее высокая вероятность появления кардиопатии в школьном возрасте.Малыш постоянно устает (физически и умственно) и испытывает гормональные всплески, связанные с периодом полового созревания, что ведет к сбоям в обменных процессах и развитию сердечной недостаточности. Сопровождает процесс появление лишнего веса и одышка при любой физической активности.

У известного педиатра, Комаровского Евгения Олеговича, часто спрашивают про кардиопатию у новорожденных, так как многие врачи не могут ответить точно, что это такое. По мнению специалиста, болезнь приписывают всем людям, у которых здоровое сердце, но есть какие-то патологические изменения. В переводе с греческого «патия» («pathos») означает «заболевание».

У грудничков кардиопатия наблюдается после внутриутробной или перинатальной гипоксии и носит название постгипоксическая кардиопатия. При ней нарушается метаболизм сердца и его вегетативная регуляция, что нарушает его функцию.

В диагноз и в медицинскую статистику такое состояние не выносится, однако встречается оно более чем у 50% новорожденных. Стоит сказать, что последствия внутриутробной гипоксии чаще всего проходят в течение 3 лет.

Новорожденные также могут страдать кардиопатиями. Заболевание часто развивается на фоне перенесенного недостатка кислорода. Притом не важно, когда возникла гипоксия, во время родов или еще во время беременности. Из-за дефицита кислорода нарушается регуляция работы сердца с изменением вегетативной нервной системы. Дисфункция миокарда возникает из-за нарушения процессов энергетического обмена.

В среднем, 50-70 % перенесших гипоксию новорожденных страдают кардиопатиями. Тяжесть патологии во многом зависит от продолжительности перенесенной гипоксии. Если нехватка кислорода наблюдалась и после рождения, то с большей долей вероятности развивается патология сердца, которую нужно потом специфически лечить. Обычно подобные кардиопатии сохраняются от месяца и до трехлетнего возраста примерно у трети заболевших детей.

Причины и симптомы вторичной кардиомиопатии

Распространенность сердечных заболеваний в наше время стремительно растет. Все больше людей обращаются с жалобами к врачам на боли в области сердца. Не редко во время обследования диагностируются заболевания, которые являются следствием других заболеваний.
Изменения структуры и функций сердечной мышцы, которые являются следствием основных первичных болезней, называются вторичной кардиомиопатией (далее — ВКМП). Это заболевание характерно не только для пожилых людей. Нередко его диагностируют у детей, молодых людей и представителей среднего возраста. Хотя, следует отметить, что вторичная кардиомиопатия встречается не очень часто, и является следствием воздействия на сердце и сосуды других болезней сердца.

Клиническая картина

При осмотре врачом можно заподозрить у ребенка патологию по следующим симптомам:

  • болевой синдром — боль в области сердца ноющего характера, чаще кратковременная;
  • одышка — ощущение нехватки воздуха, формирующееся в результате нехватки кислорода из-за гипофункции сердца;
  • гипоксический синдром — из-за недостатка кислорода у ребенка отмечается бледность кожи, головокружение, шум в ушах и т. д.
  • при вторичной кардиопатии многообразны симптомы основного заболевания (кашель, лихорадка, боль в груди при пневмонии, удушье при бронхиальной астме и т. д.);
  • Симптоматика кардиопатии зависит от ее формы и причины. Некоторые разновидности болезни длительное время фактически не проявляются. Признаки становятся более выраженными при развитии сердечной недостаточности и прочих осложнений. Наиболее распространена нижеприведенная клиническая картина:

    • общая слабость;
    • боль в области груди;
    • низкая работоспособность;
    • учащенное сердцебиение, экстрасистолии (внеочередные сокращения);
    • гипоксический синдром (головокружение, побледнение кожи).

    При серьезном поражении правого желудочка и предсердия возникают симптомы легочной недостаточности:

    • повышенное потоотделение;
    • одышка при малейшей физической нагрузке;
    • отеки нижних конечностей;
    • кашель;
    • тяжесть в груди.

    Кардиопатия в детском возрасте бывает врожденной и приобретенной. Ознакомиться с особенностями данных форм можно ниже:

    • Врожденную кардиопатию младенец может получить из-за пороков развития сердца и аутоиммунных сбоев. Если причинные факторы не оказывают существенного влияния, то болезнь выявляют лишь со временем, а не в первые месяцы жизни.
    • Приобретенную форму диагностируют ближе 8-12 годам. Связана она с активным ростом ребенка. Если речь идет о 15-16 летнем подростке, то изменения часто происходит из-загормональных всплесков, вызванных половым созреванием.

    У детей кардиопатия делится по своему механизму развития на такие основные виды:

    • Дилатационная форма бывает врожденной, или приобретенной со временем. У малыша гипертрофируются отделы сердца, уменьшается интенсивность сокращений и нарушается прохождение импульса. Постепенно развивается сердечная недостаточность.
    • Гипертрофическая кардиопатия является врожденной. Из-за пороков развития разрастается миокард и повышается его потребность в кислороде. Постепенно формируется ишемическая болезнь и тяжелые сбои в гемодинамике.
    • Рестриктивная разновидность является исключительно врожденной и встречается реже всего. Ее этиология (условия происхождения) доподлинно неизвестна. По мере развития патологии у ребенка сокращается объем сердечных отделов (без разрастания стенки), что ведет к нарушению наполнения кровью левого желудочка. На фоне возникновения структурных изменений миокарда проявляется гипоксия всех органов и тканей.

    По причинному фактору кардиопатия делится на множество видов, но детям свойственны лишь некоторые из них:

    • дисметаболическая (метаболическая);
    • постгипоксическая;
    • функциональная;
    • вторичная;
    • диспластическая.

    Функциональный

    Разобраться, что такое «функциональная кардиопатия у детей» желательно родителям, которые стремятся водить своего ребенка на множество различных спортивных секций сразу. Патология проявляется из-за чрезмерных физических и психоэмоциональных перегрузок. Сердце старается адаптироваться к подобному режиму, из-за чего возникают патологические изменения.

    Иногда болезнь развивается из-за непрофессиональных учителей физкультуры и тренеров, которые не знают о допустимых нормах по возрасту. Они заставляют детей заниматься больше положенного, вследствие чего возникает кардиопатия. Иногда ее появление связывают с воспитанием ребенка в неблагополучной семье. За ним никто не смотрит, а на фоне частых стрессов и переутомления в школе могут начаться проблемы с сердцем.

    Диспластический

    Диспластическая разновидность болезни развивается в виде самостоятельного патологического процесса. В большинстве случаев на нее не оказывают влияние сбои и прочие недуги. Часть специалистов считает, что при данной форме кардиопатии в сердце есть участок соединительной ткани, из-за которой возникают сбои при проведении импульса.

    Другие врачи приравнивают ее к функциональной форме сбоя.В некоторых странах под диспластической кардиопатией подразумевают пролапс митрального клапана. В России чаще ставят подобный диагноз, если в сердце выявлены изменения, но им нет объяснения. Обычно никакого курса терапии не назначается и достаточно соблюдать правила профилактики.

    Если на развитие болезни влияют прочие факторы, то их необходимо купировать.Вторичная кардиопатия у ребенка является следствием различных патологий. Зачастую диагностируют болезнь у детей школьного возраста. Список наиболее распространенных заболеваний, оказывающих на нее влияние, выглядит следующим образом:

    • воспалительные недуги (миокардит, эндокардит, перикардит);
    • заболевания органов дыхания;
    • тяжелые сбои в обмене веществ;
    • хронические воспалительные процессы.

    Проще всего обнаружить вторичную кардиопатию у детей в последнем случае. Ребенок уже длительное время находится под контролем врача, поэтому структурные изменения миокарда редко остаются не замеченными.

    Метаболический

    Метаболическая кардиопатия является следствием сбоев в обмене веществ. Ее чаще всего обнаруживают у подростков и связывают с плохо составленным рационом питания, частыми простудами и гормональными всплесками. Среди болезней, влияющих на развитие данной патологии, можно выделить сахарный диабет и дисфункцию щитовидной железы.

    Постгипоксический

    Постгипоксическая форма свойственна грудничкам, которые пережили внутриутробную гипоксию (кислородное голодание). Из-за нее нарушаются обменные процессы в сердечной мышце и проявляются сбои в нервной регуляции. В амбулаторную карту данные о подобной проблеме не заносятся, но встречается она у каждого второго новорожденного. Проходит постгипоксическая кардиопатия самостоятельно, в течение 2-3 лет.

    Курс терапии

    Схема терапии кардиопатии зависит от ее формы. В нее могут входить препараты, рецепты народной медицины, коррекция образа жизни и хирургическое вмешательство. Основу лечения представляет борьба с причинным фактором. Если его невозможно устранить, то назначаются поддерживающие медикаменты, устраняющие неприятные симптомы.

    При дилатационной кардиопатии врач посоветует следующие препараты:

    • Ингибиторы АПФ («Спираприл», «Рамиприл») необходимо принимать, чтобы стабилизировать кровяное давление и остановить разрастание сердечной мышцы.
    • Бета-адреноблокаторы («Нипрадилол», «Алпренолол») уменьшают потребность миокарда в кислороде и купируют аритмию.
    • Диуретики («Индапамид», «Фуросемид») используются для вывода лишней влаги из организма, особенно при наличии застоя в малом или большом круге кровообращения.
    • Препараты, разжижающие кровь («Курантил», «Фенилин»), предотвращают развитие тромбов.

    Для устранения гипертрофической формы кардиопатии применяются медикаменты для снижения потребности миокарда в кислороде и улучшения его сократительной способности. В схему лечения входят бета-адреноблокаторы и средства для разжижения крови. Добавить в нее можно лишь антагонисты кальция («Верапамил», «Дилтиазем»). Они стабилизуют сердечный ритм и снизят автоматизм синусового узла. В тяжелых случаях приходится проводить оперативное вмешательство, целью которого является установка кардиостимулятора или удаление гипертрофированного участка перегородки.

    Рестриктивный вид болезни поддается лечению труднее всего, особенно его первичная форма. Курс терапии ориентирован на устранение симптомов и основных патологий, например, гемохромотоз купируют пусканием крови, а саркоидоз приемом кортикостероидов. Для замедления развития сердечной недостаточности назначаются бета-адреноблокаторы, ингибиторы АПФ и мочегонные средства. Ранее была популярна пересадка сердца, но эффект от нее лишь временный. Постепенно патологии развивалась и в новом органе.


    Ишемическая кардиопатия лечится путем замедления развития основного патологического процесса. В тяжелых случаях назначается оперативное вмешательство для улучшения коронарного кровотока или пересадки сердца.

    Среди общих препаратов, подходящих для любых форм болезни, можно выделить следующие:

    • «Рибоксин» активирует метаболические процессы в сердечной мышце, снижает агрегацию тромбоцитов и устраняет очаги ишемии.
    • «Метонат» улучшает транспортировку кислорода, нормализует нервную проводимость и устраняет участки ишемии.
    • «Карнивит» используют для обогащения тканей сердца левокарнитином. Вещество улучшит метаболизм миокарда и замедлит развитие структурных изменений.

    Народная медицина

    В качестве дополнения схемы лечения кардиопатии допускается применение народных средств. У них фактически нет противопоказаний и побочных эффектов, что является явным плюсом, особенно при длительном приеме. Наиболее актуальны нижеприведенные рецепты:

    • В семени льна большая концентрация органических кислот, которые способны стабилизировать обменные процессы в кардиомиоцитах. Для приготовления отвара нужно залить 40 г основного ингредиента 1 л кипятка. Далее емкость ставят на водяную баню. Через 50 минут нужно убрать ее с плиты и вынуть сырье. Выпить готовое лекарство в течение дня по полстакана за 1 раз.
    • Калина богата эфирными маслами, витаминами и микроэлементами, жизненно важными для нормальной работы сердца. Ежедневно достаточно принимать по 100 г ее плодов. Делать отвар не рекомендуется, так как частично уничтожаться полезные вещества при термической обработке. Противопоказаны ягоды при стенокардии и варикозном расширении вен.
    • Особо полезен при дилатационной форме кардиопатии настой заячьей капусты. Он тонизирует организм, улучшает регенерацию тканей, снимает воспаления и укрепляется иммунитет. Для приготовления потребуется залить 50 г листьев капусты 250 мл кипятка. Затем закрыть на 4 часа. Перед применением вытащить сырье. Пить по 50 мл 4 раза в сутки.

    Лечение

    Лечить патологию необходимо сразу после выявления симптомов. Главное в лечении – не допускать последней степени тяжести, поскольку в этом случае даже современная медицина не сможет ничего сделать.

    Лечение сердечной недостаточности у детей может проводиться консервативными способами или при помощи операции. Если замечены признаки патологии, потребуется неотложная помощь, которая заключается в следующем:

    1. Ребенка необходимо держать в полусидячем положении.
    2. Далее накладывается жгут на ноги, чтобы артериальный кровоток не был нарушен.
    3. Ноги следует поставить в теплую воду.

    Если ребенок уже находится в больнице, то ему будет введен наркотик. Как правило, используется морфий. После этого устанавливают кислородную маску, через которую происходит дыхание. Если у больного острая недостаточность, то лечение проводится с введением гепарина.


    Стеноз коронарных сосудов сердца

    Операции проводятся, когда другие способы лечения не дают результатов. Лечение в таком случае кардинально отличается:

    1. В первом случае происходит полная пересадка сердца. Поврежденный орган удаляется, после чего пришивается донорский орган.
    2. Во втором случае лечение проводится кардиомиопластикой. Другими словами, хирург берет часть широчайшей спинной мышцы пациента, после чего ею накрывается сердце больного. За счет этого достигается улучшенное сокращение мышц сердца.
    3. В последнем случае лечение подразумевает замену сердца искусственным. В данном случае используются протезы, которые улучшают сократительные способности.

    После выздоровления ребенка потребуется соблюдать определенный уход.

    Важно! После операции и при осложнениях необходимо соблюдать постельный режим, при этом сохраняя полусидячее положение. Нагрузки лучше согласовывать с лечащим доктором.

    Рестриктивная кардиомиопатия

    Этот вид врожденной кардиомиопатии малоизучен, что сказывается на продолжительности жизни детей с этой патологией. Этиология неизвестна. При этом виде заболевания уменьшается объем сердечных камер без изменения толщины стенки. Нарушается наполнение сердца, развивается гипоксия тканей и органов.

    Заболевание довольно быстро приводит к летальному исходу.

    Этот вид врожденной кардиомиопатии малоизучен, что сказывается на продолжительности жизни детей с этой патологией. Этиология неизвестна. При этом виде заболевания уменьшается объем сердечных камер без изменения толщины стенки. Нарушается наполнение сердца, развивается гипоксия тканей и органов.Заболевание довольно быстро приводит к летальному исходу.

    Рейтинг
    ( 1 оценка, среднее 4 из 5 )
    Понравилась статья? Поделиться с друзьями:
    Для любых предложений по сайту: capta@cp9.ru