Афобазол повышает или снижает давление
Как действует препарат Афобазол при гипертонии и в какой дозировке его лучше принимать
Некоторые медикаменты обладают кроме прямого действия, побочными эффектами с положительной динамикой. Это напрямую касается
Риск сердечно-сосудистых заболеваний
Лишний вес и малоподвижный образ жизни как факторы риска в возникновении ССЗ
Группа сердечно-сосудистых заболеваний (ССЗ) занимает лидирующее положение в структуре причин инвалидности и смертности. С
Как пить Панангин при аритмии? Панангин при лечении аритмии
Панангин — это препарат, который содержит магния и калия аспаргинат в концентрации 40 и
Отравление сердечными гликозидами – симптомы, первая помощь, лечение, последствия
Категория: Отравление лекарствами Терапия заболеваний сердца сопряжена с определенными сложностями в подборе лекарств и
Влияние меда на организм
Можно ли употреблять мед при повышенном холестерине и как правильно это делать
В последние десятилетия холестериновые болезни получили широкое распространение. От них страдает почти треть населения
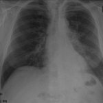
Отек легких, возникающий при инфарктах миокарда, симптомы, диагностика, лечение
0 Автор статьи: Марина Дмитриевна 2017.05.31 273 Инфаркт Отек легких при инфаркте миокарда –
Гангрена нижних конечностей: виды, лечение, прогноз
Гангрена нижних конечностей: причины, стадии и методики лечения
Этапы развития гангрены Источником патологического процесса в периферических тканях конечностей является ограничение или окончательное
Пролапс митрального клапана армия
Армия и пролапс митрального клапана (ПМК): берут ли служить с такой патологией
Цупреков Артем Руководитель правозащитного отдела Службы Помощи Призывникам в Санкт-Петербурге 70 смотреть видео Нужно
Симптомы аневризмы легочной артерии
Артериовенозная аневризма легких – симптомы, причины и диагностика патологии
Патогенез заболевания Аневризма легочной артерии – что это такое? Это патологическое расширение сосуда, который
Дислипидемии: липиды и липопротеины, метаболизм и участие в атерогенезе
Липопротеиды являются комплексным показателем, который состоит из липидов и протеинов, вступающих во взаимодействие в
Для любых предложений по сайту: capta@cp9.ru