Болезнь Вакеза: что собой представляет, симптомы и лечение

Эритремия – это один из видов заболеваний крови, которое характеризуется пролиферацией (разрастанием) эритроцитов и заметным увеличением числа других клеток (лейкоцитов, тромбоцитов). Является хронической, чаще доброкачественной, болезнью, встречающейся достаточно редко. Однако возможно перерождение доброкачественного лейкоза в злокачественный.


Эритремия – это болезнь, которой в год болеет около 4 человек из 100 миллионов людей. Она не зависит от половой принадлежности, но обычно диагностируется у людей старшего и пожилого возраста. Хотя зарегистрированы случаи заболевания и в более молодом возрасте, зачастую это женщины.

Эритремия (код МКБ-10 — С94.1) имеет хроническое течение.

Клетки крови и механизм заболевания

Механизм эритремии развивается следующим образом.

Эритроциты – красные кровяные тельца, основная функция которых – это перенос кислорода ко всем клеткам нашего организма. Они вырабатываются в костном мозге, селезенке и печени. Костный мозг находится в трубчатых костях, позвонках, ребрах, костях черепа и грудине. На 96 % эритроциты наполнены гемоглобином, который и выполняет дыхательную функцию. Красный оттенок им придает железо. Образуются эритроциты при помощи стволовой клетки. Их отличительная способность – умение делиться (размножаться), преобразуясь в любую другую клетку.

В костях также находится и желтый костный мозг, который представлен жировой тканью. Он начинает вырабатывать элементы крови только в экстремальных условиях, когда остальные источники кроветворения не выполняют свои функции.

Эритремия (МКБ-10 — международная классификация болезней, в которой данному недугу присвоен код С 94.1) – болезнь, патогенез которой еще не изучен. По причинам, все еще не до конца выясненным врачами, организм начинает усиленно вырабатывать эритроциты, которые перестают умещаться в кровяном русле, повышается вязкость крови, и начинают образовываться тромбы. Со временем нарастает гипоксия (кислородное голодание). Клетки не получают должного питания, происходит сбой в общей системе организма.

Виды патологии

По международной классификации (МКБ-10), болезнь относится к группе лейкозов. Выделяются 2 формы:

  • острая или эритролейкоз (код С94.0);
  • хроническая (код С94.1).

С учетом возникновения и развития патологии крови эритремию делят на:

  • истинную — собственно и определяет заболевание с увеличением эритроцитарной массы, очень редко встречается у детей;
  • относительную (ложную) — возникает при нормальном количестве эритроцитов, но значительном снижении объема плазмы при потере организмом жидкости.


Так выглядят склеры больного

По патогенезу в настоящей (истинной) полицитемии различают:

  • первичную — связанную с нарушенным развитием клетки миелоцита;
  • вторичную — возможна как реакция на недостаток кислорода при заболеваниях легких, подъеме на высоту, курении; либо является следствием повышенного синтеза гормона эритропоэтина почками при опухолях, гидронефрозе, кистозных изменениях, новообразованиях мозжечка, матки.

В детском возрасте наблюдают относительный эритроцитоз при поносе, рвоте, выраженных ожогах. Вторичная эритремия связана с врожденными пороками сердца (тетрада Фалло), ревматическими пороками (митральный стеноз), тяжелыми бронхитами, опухолями гипофиза и почек.

Несколько интересных фактов об эритремии

  1. Эритремия – это самая доброкачественная болезнь из всех лейкозов. То есть она долгое время ведет себя пассивно и достаточно поздно приводит к осложнениям.
  2. Она может протекать бессимптомно и не сообщать о себе в течение многих лет.
  3. Несмотря на повышенный уровень тромбоцитов, больные склонны к обильным кровотечениям.
  4. Эритремия имеет семейную предрасположенность, поэтому, если в семье есть больной, риск ее появления у одного из родственников возрастает.

Генетическая предрасположенность

В настоящее время неизвестно, какие именно генные мутации вызывают появление эритремии, однако установлено, что в семье болезнь достаточно часто повторяется в следующих поколениях. Вероятность развития заболевания увеличена в разы, если человек страдает:

  • синдромом Дауна (нарушение формы лица и шеи, отставание в развитии);
  • синдромом Клайнфельтера (непропорциональная фигура и возможное отставание в развитии);
  • синдромом Блума (низкий рост, пигментация на лице и его непропорциональное развитие, предрасположенность к онкозаболеваниям);
  • синдромом Марфана (нарушения развития соединительной ткани).

Предрасположенность к эритремии объясняется тем, что генетический клеточный аппарат (в том числе аппарат крови) нестабилен, поэтому человек становится восприимчивым к внешнему негативному воздействию – токсинам, радиации.

Токсические вещества

При попадании в организм они способны вызывать мутацию генетических клеток. Эти вещества именуют химическими мутагенами. После многочисленных исследований ученые выяснили, что больные эритремией контактировали с этими веществами до развития заболевания. К таким веществам относятся:

  • бензол (находится в составе бензина и многих химических растворителей);
  • антибактериальные препараты (в частности, «Левомицетин»);
  • цитостатические препараты (противоопухолевые).

Симптоматическая терапия

Во всех стадиях болезни необходимо предотвращать тяжелые последствия. Необходимы средства, устраняющие конкретные симптомы.

  • При повышенном давлении используются антигипертензивные препараты.
  • Кожный зуд снимается противогистаминными средствами.
  • При нарастании анемии переливают донорскую кровь, отмытые эритроциты.
  • Язвы желудка и кишечника лечат Альмагелем, Омепразолом.
  • Развитие сердечной недостаточности требует применения гликозидов.

Больные эритремией состоят на диспансерном учете, ежегодно осматриваются гастроэнтерологом, неврологом, ревматологом. Консультируются и наблюдаются гематологом.

Стадии эритремии и их симптомы

Эритремия стадии имеет следующие: начальная, развернутая и терминальная. Каждая из них имеет свои симптомы. Начальная стадия может длиться десятилетиями, не проявляясь никакими серьезными симптомами. Незначительную симптоматику больные обычно списывают на другие, менее серьезные заболевания. Ведь даже врачи часто не уделяют должного внимания неидеальному анализу крови.

Если имеет место начальная эритремия, анализы крови имеют умеренные отклонения от нормы.

Начальная стадия также характеризуется быстрой утомляемостью, головокружением, шумом в ушах. Больной плохо спит, ощущает холод в области конечностей, появляются отеки рук и ног. Наблюдается снижение умственной работоспособности. Никаких внешних проявлений заболевания пока нет. Головная боль не считается специфическим признаком болезни, но она имеет место на начальной стадии по причине плохого кровообращения в мозге. По этой же причине снижается зрение, внимание и сообразительность.


При диагнозе «эритремия» симптомы болезни на второй стадии имеют свои особенности – кровоточат десны, становятся заметны небольшие гематомы. На голени могут появляться темные пятна (симптомы тромбоза) и даже трофические язвы. Увеличиваются органы, в которых образуются эритроциты, – селезенка и печень. Из-за развития заболевания набухают лимфоузлы.

Вторая стадия эритремии может длиться около 10 лет. Вес заметно снижается. Кожа приобретает вишневый тон (чаще руки и ноги), мягкое нёбо меняет цвет, твердое – сохраняет свой прежний оттенок. Больного беспокоит кожный зуд, который усиливается после купания в теплой или горячей воде. На теле становятся заметны набухшие вены от переизбытка крови, особенно в области шеи. Глаза словно налиты кровью, ведь эритремия, симптомы которой достаточно явны на второй стадии, способствует притоку крови к сосудам глаз.

Из-за плохого кровообращения в капиллярах проявляется боль и жжение в пальцах рук и ног. В запущенных случаях становятся заметны циатонические пятна на них.

Имеют место костные и подложечные боли. Суставные боли подагрического характера связаны с избытком мочевой кислоты. Вообще работа почек нарушается, часто диагностируется пиелонефрит и обнаруживаются уратовые камни в почках.

Страдает нервная система. Больной нервный, его настроение нестабильно, отличается слезливостью и часто меняется.

Вязкость крови повышается, что влечет за собой появление тромбов в самых разных сосудистых участках. Также присутствует риск развития варикозного развития вен.

Внимание! Больные также могут страдать гипертонией и открытием язв в двенадцатиперстной кишке. Это связано со снижением защитных сил организма и увеличением количества Хеликобактер пилори – именно эта бактерия вызывает язву.

Третья стадия эритремии характеризуется бледностью кожного покрова, частыми обмороками, слабостью и вялостью. Наблюдаются длительные кровотечения во время минимальных травм, апластическая анемия из-за снижения уровня гемоглобина в крови.

Болезнь Вакеза: симптомы, причины, диагностика, как лечить

Болезнь Вакеза относится к заболеваниям кровеносной системы. Другое название – первичная или истинная полицитемия. Это опухолевая патология, хроническая. Диагностировать болезнь можно при анализе крови пациента.

Исследование показывает рост красных кровяных телец и повышенную густоту крови. С каждым днём пациенту становится хуже, возникает тромбоцитоз и лейкоцитоз. Поскольку кровь в организме течёт замедленно, возможно появление тромбов.

Увеличивается вязкость и объём крови.

Что происходит с организмом

При заболевании возникает опасность гипоксии, когда ткани организма недополучают кислород. Даже при наличии отличного иммунитета, больному необходимо лечение. Организм сам справится с заболеванием не может:

  • возникают проблемы с печенью и селезёнкой;
  • повышается кровяное давление;
  • нарушается правильная работа почек.

Обратите внимание!

В группе риска находятся люди пожилого возраста. Чаще всего, по статистике, это мужчины.

Если заболевают более молодые люди или дети, то переносят они значительно тяжелее. Причины заболевания кроются в генетической предрасположенности людей. Болезнь Вакеза-Ослера названа так в честь француза Луи Генри Вакеза и канадца Уильяма Ослера, врачей, впервые описавших недуг ещё в конце 19 – начале 20 веков.

Стадии и симптомы болезни Вакеза

Эта болезнь развивается скрытно. Многие пациенты в течение длительного времени о ней даже не подозревают. В начале заболевания нет каких-то конкретных симптомов.

На средней стадии:

  1. Появляются жалобы на постоянные головные боли.
  2. Кружится голова, трудно сосредоточится.
  3. Возникает сильный зуд эпидермиса.
  4. Краснеет кожный покров, вены просвечивают.
  5. Часто зуд усиливается от соприкосновения с водой.
  6. Кроме покраснения кожи, присутствует и потемнение слизистой.
  7. На шее набухают и становятся видны вены.

Тромбоциты – основная причина закупоривания капилляров, поэтому пациенты испытывают боль в конечностях, суставах. Часто наблюдается кровоточивость дёсен. Пациенты худеют, простужаются. У них происходит снижение остроты зрения, слуха, частые смены настроения.

Следующая стадия сопровождается обезвоживанием, кислородным голоданием, и заболеванием лёгких. Проявляется сердечная недостаточность и ухудшается работа почек. Из-за нехватки кислорода, увеличивается производство эритроцитов.

Терминальная стадия – это начало злокачественного этапа развития. Кроме синдрома эритроцитоза пациент чувствует боли по всему телу. Начинается лейкоз. Открываются кровотечения, обостряются воспаления и инфекции. Страдает селезёнка, появляются проблемы с печенью.

Механизм развития и причины болезни

При усиленной выработке эритроцитов значительно повышается гемоглобин. В костном мозге образуется опухоль и увеличивается производство молодых эритроцитов. Патология приводит к загустению крови. Этим вторичная эритремия отличается от первичной.

Причины полицитемии ещё недостаточно изучены. Болезнь возникает вследствие мутаций и усиленного творения красных кровяных телец (эритропоэза).

Об этом же свидетельствует медицинская статистика. Разновидности хронических лейкозов часто наблюдаются среди родственников. Причиной возникновения Вакеза могут также являться нарушения свёртываемости крови.

Есть факторы, которые повышают риск возникновения болезни:

  1. В первую очередь это генетика.
  2. Токсические соединения тоже могут быть причиной мутаций.
  3. Радиация может вызывать нарушения в организме.

Больные онкологией, подвергавшиеся радио- и химиотерапии тоже входят в группу риска.

У новорождённых болезнь проявляется в виде гипоксии. При внутриутробной нехватке кислорода развивается патология вследствие:

  • курения беременной;
  • развития туберкулёза;
  • пороков сердца;
  • фетоплацентарной недостаточности.

После рождения ребёнка полицитемия часто развивалась у новорожденного из-за проблем работы сердечной мышцы, лёгких и других внутренних органов.

Симптомы и диагностика

Диагноз в начале заболевания поставить достаточно сложно. Многие симптомы Вакеза характерны для других недомоганий: появляется болезнь суставов как при подагре, горячая вода способствует появлению зуда. Вены становятся видны и набухают. Кожные покровы приобретают тёмно-красный оттенок. Появляются:

  • головокружения;
  • слабость;
  • болит голова.

У больных возникают проблемы со зрением, слухом им трудно на чём-то сконцентрировать внимание. Повышается артериальное давление. Возможно появление язвы желудка. Часто образуются тромбы. Головной мозг недополучает необходимого кислорода и увеличивается опасность инсульта. При возникающей анемии кожа бледнеет, кружится голова.

Внимание!

Для обнаружения болезни используют биохимический анализ крови. Количество эритроцитов у пациентов может превышать норму в 2 раза. Это может свидетельствовать о начале заболевания.

Подозрение на полицитемию вызывает увеличение в организме мочевой кислоты. Однако, для уверенности в правильности диагноза, проводят пункцию головного мозга. Операцию проводят без обезболивания.

Пункция позволяет выяснить состояние фиброза и раковых клеток. Чтобы выяснить степень поражения внутренних органов проводят исследования на УЗИ.

Диагноз ставят если наблюдается стойкое снижение веса и изменяется окраска кожи и слизистой.

При радиологическом исследовании подсчитывают количество эритроцитов. Трепанобиопсия исследует состояние подвздошной кости. Этот метод наиболее точно позволяет поставить диагноз. Костный мозг изучают с помощью стернальной пункции. Для исследования скорости кровотока в сосудах применяется метод допплерографии.

Профилактика и лечение

Действенных мер предупреждения этой болезни не существует. Речь идёт о способах вторичной профилактики. Это динамическое наблюдение с помощью обследований, лечения. Поэтому профилактика направлена на вторичные виды болезни. В первую очередь необходимо:

  • отказаться от курения;
  • сохранять массу тела;
  • пить больше воды.

Нужно пролечить все острые заболевания, контролировать очаги воспаления. Соблюдать рекомендации врачей, соблюдать прописанную диету. Обычно это «Стол №5 и №6».

При выборе тактики лечения учитывают возраст больного. Особенно важно предупредить развития тромбозов. Самый действенный метод – кровопускание. За один раз откачивают до 500 мл крови. Часто этот способ сочетают с химиотерапией. Хороший эффект даёт циторедуктивная терапия. Применяются такие препараты как:

Лечение пациентов до 50 лет, без осложнений заключается только кровопускании. Хорошо зарекомендовали себя:

  • Альфа-интерферон;
  • противоопухолевые препараты.

Из медикаментов чаще назначают Аллопуринол. Работа почек при этом улучшается, пропадают боли в конечностях. Для улучшения циркуляции крови назначают антикоагулянты. При кожном зуде показаны препараты, подавляющие действие гистамина. Врач-гематолог составляет отдельную схему лечения. Аспирин устраняет нарушения циркуляции крови. Назначение подобных дезагрегантов рекомендуется всем больным.

рекомендация – правильное питание, соблюдение диеты. Кроме того, нельзя допускать физического переутомления. Нужно исключить продукты, которые увеличивают кровоток. Под запретом находятся кайенский перец, гранаты, лук. Полезна растительная, молочная продукция. На второй стадии заболевания нужно исключить из пищи потребление:

Множество народных рецептов хорошо влияют на кроветворную составляющую. Их, безусловно, нужно использовать. С помощью народных методов можно притупить болевые ощущения или снять спазм. Полное выздоровление с помощью траволечения невозможно. Даже при улучшении симптомов болезни, патология никуда не денется, в любое время может наступить обострение.

Народная медицина может лишь притупить боль на некоторое время. Может ещё снять спазм, обострение. Хорошо зарекомендовали себя рецепты по лечению травами. Например, существует множество способов избежать запустевания крови. Траву Донник заваривают в воде, процеживают через сито, употребляют внутрь по полстакана. Проводят месячный курс, потом делают перерыв на 2 месяца.

Прекрасный эффект даёт использование клюквы. На стакан кипятка нужно 2 ложки сухих или свежих ягод. В течение получаса настой заваривается и готов к употреблению. Отвар можно подсластить, употреблять внутрь за 30 мин до еды.

Прогноз

Полицитемия – редкое заболевание, число впервые выявленных больных за год составляет около 1 на 100 000 населения. Статистика свидетельствует, что с диагнозом Вакеза люди живут 10-20 лет. Болезнь часто поражает престарелых людей. Если диагноз поставили в 70-80 лет, то человек может жить дальше, не особо меняя образ жизни. Но общих правил здесь не существует.

Врачебный прогноз при полицитемии благоприятный, поскольку это доброкачественное заболевание. Существует шанс полного излечения. Но от рецидивов болезни никто не застрахован. Возможно появление цирроза печени. Часто возникает:

  • ишемическая болезнь;
  • тромбоэмболия.

Врачи не склонны сравнивать полицитемию с онкологией. Эту болезнь успешно лечат. Онкология – это разрастание эпителия, а Вакеза-Ослера –поражение кроветворной ткани. Заболевание развивается не быстро. Человек за время своей жизни обязательно сдаёт анализы, специалисты видят отклонения в состоянии крови.

Своевременное выявление полицитемии позволяет излечить больного на ранней стадии. В последние годы значительно улучшилась диагностика. Учёными был создан новый класс лекарств.

Источник: //krovinfo.com/bolezn-vakeza/

Третья стадии эритремии: симптомы и осложнения

Эритремия – заболевание крови, которое на третьей стадии становится агрессивным. На данном этапе клетки костного мозга подвергаются фиброзу. Он уже не может вырабатывать эритроциты, поэтому нормы форменных элементов крови падают, порой до критических показателей. В головном мозге появляются очаги размягчения, начинается фиброз печени. В желчном пузыре находится густая, вязкая желчь и пигментные камни. Следствием этого является цирроз печени и закупорка сосудов.

Раньше именно повышенное тромбообразование становилось причиной смерти больных эритремией. Стенки сосудов подвергаются изменениям, наблюдается закупорка вен в сосудах мозга, селезенки, сердца и ног. Возникает облитерирующий эндартериит – закупорка сосудов ног с риском их полного сужения.

Поражаются почки. Из-за роста мочевой кислоты больные страдают от суставных болей подагрического характера.

Внимание! При эритремии ноги и руки часто меняют оттенок. Больной склонен к бронхиту и простудным заболеваниям.

Течение заболевания

Эритремия – это медлительное заболевание. Болезнь вступает в свои права медленно, ее начало прогрессирующее и носит малозаметный характер. Больные порой живут десятилетиями, не обращая внимания на незначительную симптоматику. Тем не менее в более серьезных случаях из-за тромбов смерть может наступить в течение 4-5 лет.

Наряду с эритремией увеличивается селезенка. Выделяют форму с циррозом печени и поражением промежуточного мозга. В течение болезни могут быть вовлечены аллергические и инфекционные осложнения, порой больные не переносят определенные группы лекарств, страдают от крапивницы и других кожных заболеваний. Течение болезни осложняется сопутствующими состояниями, ведь диагноз обычно ставится пожилым людям.

Постэритремический миелофиброз – это перерождение болезни из доброкачественного течения в злокачественное. Состояние является естественным у больных, которые дожили до этого периода. В таком случае врачи допускают, что эритремия приобрела опухолевый характер.

Крайне важно правильно диагностировать эритремию и назначить соответствующее лечение. Диагностика включает в себя целый ряд исследований.

Прогноз

Долгосрочная перспектива для лиц, страдающих от болезни Вакеза, может зависеть от реакции на лечение. Наиболее опасным симптомом истинной полицитемии является вероятность тромботического события, которое может привести к сердечному приступу или инсульту. Существует также небольшая вероятность того, что истинная полицитемия может привести к развитию лейкемии. Однако при правильном лечении эти симптомы не оказывают существенного влияния на ожидаемую продолжительность жизни человека с болезнью Вакеза.

Другим осложнением, которое может повлиять на прогноз, является неприятный зуд, который может возникнуть как часть заболевания. Однако многие люди могут контролировать зуд с помощью лекарств, перечисленных выше.

Анализ крови при эритремии

При диагнозе «эритремия» анализ крови, показатели которого очень важны для постановки диагноза, делается в первую очередь. Прежде всего это общий анализ крови. Именно отклонения от нормы в нем становятся первым тревожным звоночком. Увеличено количество эритроцитов. Изначально оно некритично, однако с развитием заболевания все больше увеличивается, а на последней стадии падает. В норме уровень эритроцитов в крови у женщин составляет от 3,5 до 4,7, а у мужчин – от 4 до 5.

Если диагностирована эритремия, анализ крови, показатели которого указывают на повышение эритроцитов, говорит и о соответствующем увеличении гемоглобина. Гематокрит, указывающий на способность крови переносить кислород, повышен до 60-80 %. Цветовой показатель не изменен, но на третьей стадии может быть любым – нормальным, повышенным или пониженным. Тромбоциты и лейкоциты повышены. Лейкоциты вырастают в несколько раз, а порой и больше. Выработка эозинофилов (иногда вместе с базофилами) усиливается. Серьезно повышены тромбоциты. Скорость оседания эритроцитов – не выше 2 мм/час.

Увы, общий анализ крови хоть и важен при начальной диагностике, малоинформативен, и лишь на его основе диагноз не ставится.

Другие исследования при эритремии

  • Биохимический анализ крови. Основная его цель – определить количество железа в крови и уровень печеночных проб – АСТ и АЛТ. Они высвобождаются из печени при разрушении ее клеток. Определение количества билирубина указывает на выраженность процесса разрушения эритроцитов.
  • Пункция костного мозга. Анализ берется при помощи иглы, которую вводят в кожу, в область надкостницы. Метод указывает на состояние кроветворных клеток в костном мозге. Исследование указывает на количество клеток в костном мозге, наличие раковых клеток и фиброза (разрастание соединительной ткани).
  • При диагнозе «хроническая эритремия» также делают лабораторные маркеры и УЗИ брюшной полости. УЗИ позволяет выявить переполнение органов кровью, увеличение печени и селезенки, а также очаги фиброза в них.
  • Допплерография указывает на скорость движения крови и помогает выявить тромбы.

Целевое применение медикаментов

Для лечения используются препараты, которые способны вызвать осложнения. Поэтому дозировка постоянно контролируется результатами анализов крови.

  1. Группа цитостатиков для подавления роста клеток мутантов (химиотерапия) — применяются Миелосан, Миелобромол, Гидроксимочевина.
  2. В качестве средств, улучшающих текучесть крови, используют — Аспирин, Курантил, Гепарин в инъекциях.
  3. Чтобы снизить уровень гемоглобина и гематокрит, применяют метод кровопускания (по 200–400 мл крови из локтевой вены курсами через день).
  4. Способ эритроцитофереза заключается в заборе до 800 мл крови, пропускании ее через специальные фильтры, отделяющие эритроцитарную массу, и возвратном переливании плазмы с лейкоцитами и тромбоцитами. Проводят раз в неделю, на курс — 5 процедур.
  5. Для компенсации потери железа в лечение включаются Феррум Лек, Мальтофер.
  6. Из медикаментов, влияющих на обмен солей мочевой кислоты, применяют Аллопуринол, Антуран.


Переливание «здоровых» эритроцитов позволяет задержать болезнь

Лечение эритремии

Следует заметить, что эритремия зачастую медленно прогрессирует и имеет доброкачественное течение. В первую очередь врачи советуют изменить образ жизни – больше бывать на свежем воздухе, гулять, получать положительные эмоции (эндорфинотерапия порой достигает потрясающих результатов). Продукты, которые содержат в составе большое количество железа и витамина С, нужно исключить.

На первой стадии заболевания основная цель при диагнозе «эритремия» — показатели крови снизить до нормы: гемоглобин — до 150-160, а гематокрит – до 45-46. Также важно свести на нет осложнения, вызванные заболеванием, – нарушения кровообращения, боль в пальцах и т. д.

Нормализовать гематокрит с гемоглобином помогает кровопускание, которое в этом случае применяют и по сей день. Однако данная процедура делается в рамках неотложной помощи, потому как стимулирует работу костного мозга и функцию тромбопоэза (процесс образования тромбоцитов). Существует также процедура под названием эритроцитаферез, которая заключается в очищении крови от эритроцитов. При этом плазма крови остается.

Профилактика

На развитие истинной эритремии профилактика не влияет, так как патология носит врожденный характер. Для предотвращения вторичного вида заболевания следует придерживаться таких мероприятий:

  • отказаться от вредных привычек;
  • пить много жидкости для предотвращения дегидратации организма;
  • своевременно лечить острые и хронические болезни;
  • выполнять контроль над массой тела, не допускать лишнего веса;
  • уделять достаточно времени физическим нагрузкам, что обеспечит нормальные обменные процессы;
  • принимать медикаментозные средства только по назначению специалиста;
  • правильно питаться, исключить вредную пищу.


Лучшая профилактика – здоровый образ жизни

Эти несложные правила помогут держать организм в тонусе, предотвратить многие опасные осложнения и развитие болезни Вакеза.

Медикаментозное лечение

Цитостатики — это препараты противоопухолевой природы, которые применяют при осложнениях эритремии – язвах, тромбозах, нарушениях кровообращения мозга, возникающих на второй стадии заболевания. «Миелосан», «Бусульфан», гидроксимочевина, «Имифос», радиоактивный фосфор. Последний считается эффективным благодаря тому, что скапливается в костях и угнетает функцию головного мозга.

Глюкокортикостероиды назначаются при гемолитической анемии аутоиммунного генеза. Особенно популярен «Преднизолон». Если лечение не дает соответствующих результатов, назначают операцию по удалению селезенки.

Чтобы избежать дефицита железа, могут быть назначены железосодержащие препараты – «Гемофер», «Тотема», «Сорбифер».

Также по мере необходимости назначают следующие группы лекарств:

  1. Антигистаминные.
  2. Снижающие артериальное давление.
  3. Антикоагулянты (разжижающие кровь).
  4. Гепатопротекторы.

Эритремия, лечение которой часто проводят в стационаре, — это серьезная болезнь, вызывающая множество осложнений. Важно как можно раньше выявить ее и начать терапию.

Ведущие израильские онкологи

  • Профессор Арон Сулькес
    Онколог
  • Профессор Моше Инбар

    Онколог

  • Профессор Офер Меримский

    Специалист по лечению сарком

  • Доктор Яир Бар

    Онколог

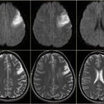
В зависимости от того, в каких сосудах происходит тромбоз, может развиваться клиника острого живота, гангрены нижних или верхних конечностей, тромбоза легочной артерии с кровохарканьем, инфаркта миокарда, инсульта головного мозга.

«Как и для любого другого лейкоза, для эритремии характерно развитие вторичной подагры, сопровождающейся развитием мочекаменной болезни и артрита с выраженным болевым синдромом, чаще всего поражающим сустав большого пальца стопы».

Рейтинг
( 1 оценка, среднее 4 из 5 )
Понравилась статья? Поделиться с друзьями:
Для любых предложений по сайту: capta@cp9.ru