Acute perianal venous thrombosis - what is it?
The disease pelvic thrombophlebitis is inflammatory changes in the venous wall, accompanied by the formation of a blood clot. Defeat
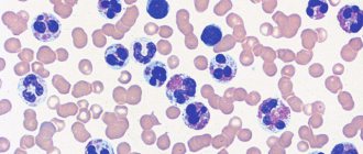
lymphocytes and eosinophils are elevated in the blood test
1 Author of the article: Marina Dmitrievna 2017.08.05 16 103 Leukocytes Basophil and eosinophil are
Hypertonicity of cerebral vessels - what is it?
Symptoms of increased tone in infants Increased tone in infants is diagnosed quite easily - not
Which doctor treats thrombophlebitis of the lower extremities
The human body is characterized by thrombosis of veins in the lower extremities. Can overlap superficial or deep
Pituitary hormones hypofunction. What are the dangers and how do pituitary gland disorders manifest?
The relationship between hypertension and hypothyroidism When the function of the thyroid gland is low, the formation of its hormones decreases -
Operative access to the heart. Surgical treatment of heart wounds.
Extrapleural access Penetrate into the mediastinum through the interpleural field. Technique. Longitudinal dissection of the sternum throughout
Cough and heavy breathing: causes and treatment methods
Author's rating Author of the article Elena Stanislavovna Zelenaya Otolaryngologist of the second category Articles written 665
Cholesterol norm per day - how much can you consume?
What is cholesterol? Cholesterol is the main link in lipid (fat) metabolism. More synthesized
Causes and signs of gangrene of the legs in diabetes mellitus
Medical certificate Diabetes mellitus is a disease in which there is an increased level of sugar in the
ectopic atrial rhythm
Ventricular extrasystole - symptoms and treatment
Description of the pathology When the sinus node is weakened or stops working, and this happens either
Для любых предложений по сайту: capta@cp9.ru